Pathopic
HiPaKu
ZyPaKu
PathoBasic
PathoBasic Cytology
Quizzes
Projektinfos
PathoPic - Projekt- und Copyright-Info
About
Pathopic
HiPaKu
ZyPaKu
PathoBasic
PathoBasic Cytology
Quizzes
PathoPic – image database
/
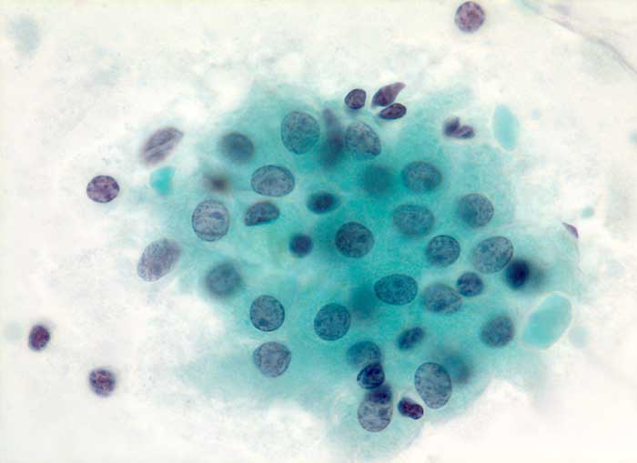
PathoPic ID 5681 - Warthin Tumor
de
Diagnose
Warthin Tumor
Diagnose Gruppe
benigner Tumor
Topographie
Parotis
Topographie Gruppe
Kopf & Hals, Sinnesorgane
Beschreibung
Feinnadelpunktion Parotis: Verband onkozytärer Zellen mit reichlich zyanophilem Zytoplasma. Die rundlichen Kerne zeigen feinverteiltes Chromatin und einen kleinen Nukleolus. Zwischen den onkozytären Zellen sind einzelne
Lymphozyten erkennbar.
Klinik
Unklare Schwellung Parotisunterpol
Bilder Typ
Zytologie
Vergrösserung
630
Alter
57
Geschlecht
männlich
Datum
Ersteintrag: 20.12.2002
Update: 21.12.2007
CPS
·
©
2024 Institut für Pathologie Basel
/
Dr. med. Katharina Glatz-Krieger
.
·
v2.1