Pathopic
HiPaKu
ZyPaKu
PathoBasic
PathoBasic Cytology
Quizzes
Projektinfos
PathoPic - Projekt- und Copyright-Info
About
Pathopic
HiPaKu
ZyPaKu
PathoBasic
PathoBasic Cytology
Quizzes
PathoPic – image database
/
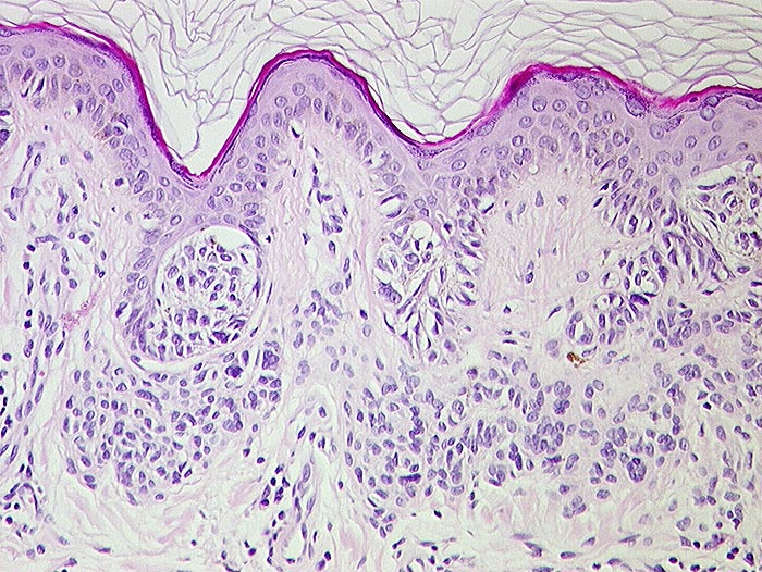
PathoPic ID 565 - Naevuszellnaevus vom Compound Typ
de
Diagnose
Naevuszellnaevus vom Compound Typ
Diagnose Gruppe
benigner Tumor
Topographie
Haut, untere Extremität
Topographie Gruppe
Haut
Beschreibung
Nester von Naevuszellen in der basalen Epidermis und in der angrenzenden Dermis.
Bilder Typ
Histologie
Alter
60
Geschlecht
unbekannt
Datum
Ersteintrag: 14.11.2001
CPS
·
©
2024 Institut für Pathologie Basel
/
Dr. med. Katharina Glatz-Krieger
.
·
v2.1