PathoPic – image database / PathoPic ID 5625 - Adenokarzinom der Prostata

de
Diagnose
Adenokarzinom der Prostata
Diagnose Gruppe
maligner Tumor
Topographie
Prostata
Topographie Gruppe
Genitalorgane, männlich
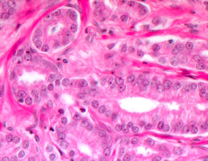
Beschreibung
Von einem einreihigen Epithel ausgekleidete Tumordrüsen mit fehlender Basalzellschicht. Auffallend grosse Nukleolen.
Klinik
Malignitätsverdächtiger Palpationsbefund
Bilder Typ
Histologie
Vergrösserung
400
Alter
72
Geschlecht
männlich
Datum
Ersteintrag: 26.12.2002
Update: 30.07.2010