PathoPic – image database / PathoPic ID 562 - Extrahepatischer Verschlussikterus

de
Diagnose
Extrahepatischer Verschlussikterus
Diagnose Gruppe
organspezifische Erkrankung
Topographie
Leber
Topographie Gruppe
Leber, Gallenwege, Pankreas
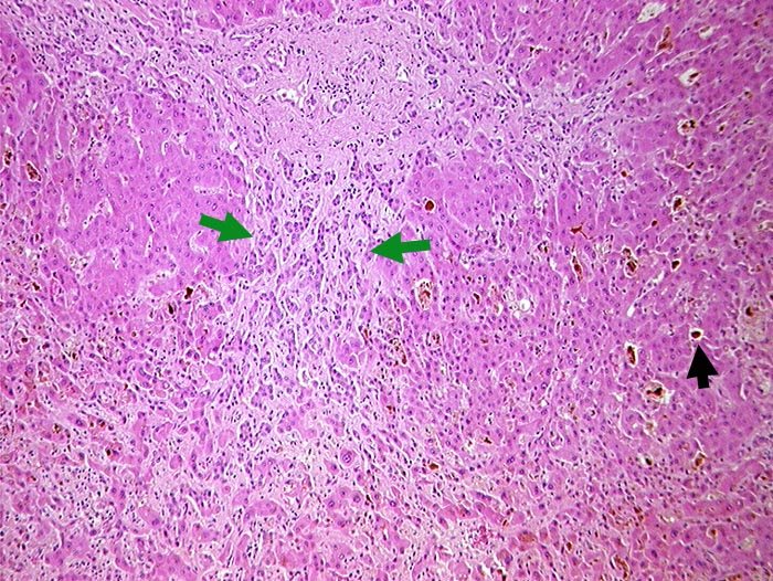
Beschreibung
Gallezylinder in erweiterten interzellulären Canaliculi (Gallethromben). Ductulusproliferationen im leicht fibrosierten Portalfeld.
Zusatzbefund
Gallenblasenkarzinom. Kompression des Ductus choledochus durch Lymphknotenmetastasen im Leberhilus.
Bilder Typ
Histologie
Alter
67
Geschlecht
männlich
Datum
Ersteintrag: 14.11.2001