PathoPic – image database / PathoPic ID 5618 - Adenokarzinom der Prostata

de
Diagnose
Adenokarzinom der Prostata
Diagnose Gruppe
maligner Tumor
Topographie
Prostata
Topographie Gruppe
Genitalorgane, männlich
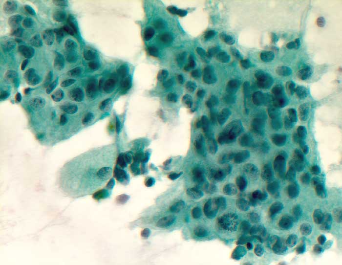
Beschreibung
Prostata, Feinnadelpunktion: In lockeren Verbänden liegende atypische kubische Zellen. Diese besitzen relativ grosse, leicht bis mässig polymorphe, vermehrt grob strukturierte Kerne mit grossen Nukleolen. Im grösseren Zellverband ist eine Mitose erkennbar.
Zusatzbefund
Histologie: wenig differenziertes überwiegend solide wachsendes Karzinom
Bilder Typ
Zytologie
Vergrösserung
400
Alter
67
Geschlecht
männlich
Datum
Ersteintrag: 26.12.2002
Update: 30.07.2010