PathoPic – image database / PathoPic ID 5606 - Wenig differenziertes Adenokarzinom: Lebermetastase

de
Diagnose
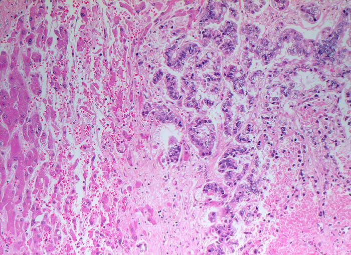
Wenig differenziertes Adenokarzinom: Lebermetastase
Diagnose Gruppe
maligner Tumor
Topographie
Leber
Topographie Gruppe
Leber, Gallenwege, Pankreas
Beschreibung
Links im Bild das durch die Metastase komprimierte Leberparenchym. Der partiell nekrotische Tumor rechts im Bild bildet drüsige Strukturen.
Klinik
Lebermetastase bei unbekanntem Primärtumor
Bilder Typ
Histologie
Vergrösserung
100
Alter
81
Geschlecht
unbekannt
Datum
Ersteintrag: 25.12.2002
Update: 12.02.2003