PathoPic – image database / PathoPic ID 5604 - Wenig differenziertes Adenokarzinom: Lebermetastase

de
Diagnose
Wenig differenziertes Adenokarzinom: Lebermetastase
Diagnose Gruppe
maligner Tumor
Topographie
Leber
Topographie Gruppe
Leber, Gallenwege, Pankreas
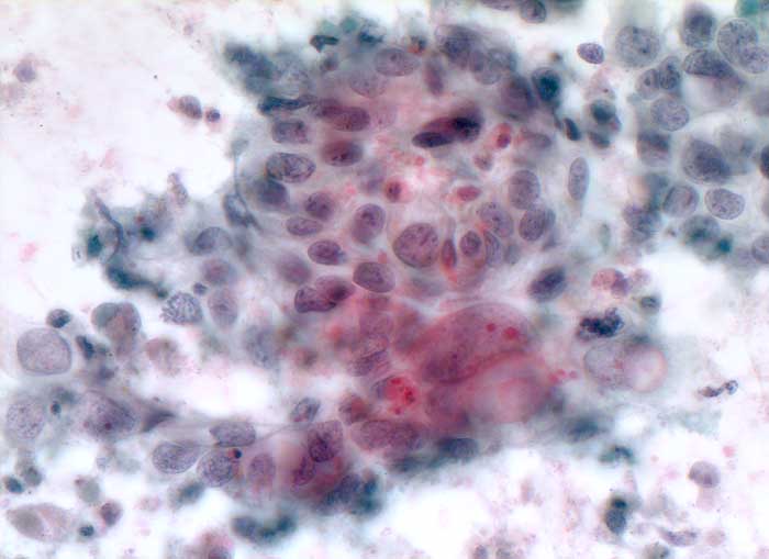
Beschreibung
Leber, Feinnadelpunktion: Reichlich nekrotischer Zelldetritus. Die Tumorzellen zeigen einen schmalen Zytoplasmasaum und die vesikulären Kerne sind ausgesprochen polymorph und zeigen prominente Nukleolen.
Zusatzbefund
Histologie: Metastase eines mässig differenzierten Magenkarzinoms
Klinik
Lebermetastase bei unbekanntem Primärtumor
Kommentar
Zytologische Diagnose: Zellen eines wenig differenzierten zentral nekrotischen Adenokarzinoms. Differentialdiagnostisch kommt in erster Linie ein Karzinom des Dickdarms oder des Magens in Betracht.
Bilder Typ
Zytologie
Vergrösserung
400
Alter
81
Geschlecht
unbekannt
Datum
Ersteintrag: 25.12.2002
Update: 12.02.2003