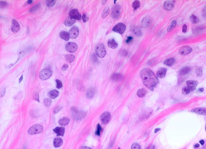
Diagnose
invasiv lobuläres Mammakarzinom
Diagnose Gruppe
maligner Tumor
Beschreibung
In Einerreihen hintereinander gänsemarschartig angeordnete monomorphe kleine Tumorzellen mit geringen Atypien.
Klinik
Verdacht auf Mammakarzinom
Datum
Ersteintrag: 25.12.2002
Update: 12.02.2003