Pathopic
HiPaKu
ZyPaKu
PathoBasic
PathoBasic Cytology
Quizzes
Projektinfos
PathoPic - Projekt- und Copyright-Info
About
Pathopic
HiPaKu
ZyPaKu
PathoBasic
PathoBasic Cytology
Quizzes
PathoPic – image database
/
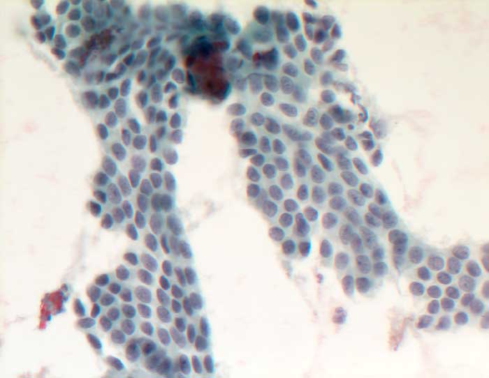
PathoPic ID 5598 - Normales Prostataepithel
de
Diagnose
Normales Prostataepithel
Diagnose Gruppe
Normalbefund
Topographie
Prostata
Topographie Gruppe
Genitalorgane, männlich
Beschreibung
Prostata, Feinnadelpunktion: Prostataepithel in Form eines regelmässigen, tapetenförmigen Zellverbandes.
Bilder Typ
Zytologie
Vergrösserung
400
Alter
64
Geschlecht
männlich
Datum
Ersteintrag: 26.12.2002
Update: 30.07.2010
CPS
·
©
2024 Institut für Pathologie Basel
/
Dr. med. Katharina Glatz-Krieger
.
·
v2.1