PathoPic – image database / PathoPic ID 5594 - Wenig differenziertes invasiv duktales Mammakarzinom

de
Diagnose
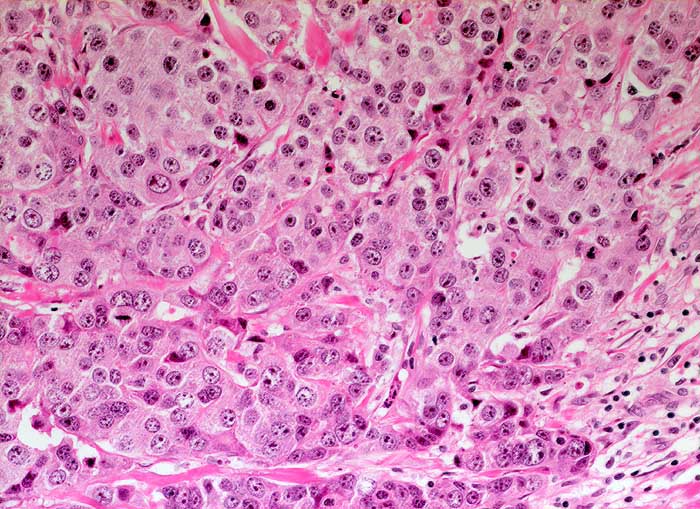
Wenig differenziertes invasiv duktales Mammakarzinom
Diagnose Gruppe
maligner Tumor
Topographie
Mamma
Topographie Gruppe
Mamma
Beschreibung
Trabekulär angeordnete stark atypische Tumorzellen mit deutlicher Pleomorphie und hyperchromatischen Kernen. Reichlich eosinophiles Zytoplasma.
Klinik
Sonographisch wachsender Befund unklarer Dignität im oberen äusseren Quadranten rechts.
Bilder Typ
Histologie
Vergrösserung
200
Alter
67
Geschlecht
unbekannt
Datum
Ersteintrag: 25.12.2002
Update: 12.02.2003