PathoPic – image database / PathoPic ID 5593 - Wenig differenziertes invasiv duktales Mammakarzinom

de
Diagnose
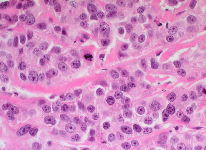
Wenig differenziertes invasiv duktales Mammakarzinom
Diagnose Gruppe
maligner Tumor
Topographie
Mamma
Topographie Gruppe
Mamma
Beschreibung
Zu breiten Trabekeln angeordnete Tumorzellen mit pleomorphen hyperchromatischen Kernen und reichlich eosinophilem Zytoplasma.
Klinik
Sonographisch wachsender Befund unklarer Dignität im oberen äusseren Quadranten rechts.
Bilder Typ
Histologie
Vergrösserung
400
Alter
67
Geschlecht
unbekannt
Datum
Ersteintrag: 25.12.2002
Update: 12.02.2003