PathoPic – image database / PathoPic ID 5584 - Lymphadenitis bei EBV Infektion

de
Diagnose
Lymphadenitis bei EBV Infektion
Diagnose Gruppe
Entzündung infektiös
Topographie
Lymphknoten, Kopf-cervikal
Topographie Gruppe
Lymphatische Gewebe, KM, Milz
Beschreibung
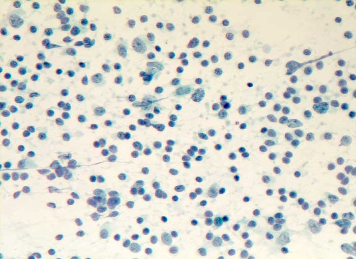
Feinnadelpunktion Lymphknoten zervikal: Der Ausstrich enthält reichlich Lymphozyten, darunter auffallend viele transformierte grosse Zellen aus Keimzentren ( Zentroblasten) mit mehreren peripher lokalisierten Nukleolen.
Zusatzbefund
Serologisch IgM und IgG Antikörper gegen Epstein-Barr Virus.
Klinik
Lymphknotenschwellung beidseits am Hals
Kommentar
Zytologische Diagnose: Reaktive Lymphadenitis.
Bilder Typ
Zytologie
Vergrösserung
320
Alter
23
Geschlecht
männlich
Datum
Ersteintrag: 25.12.2002
Update: 12.02.2003