Pathopic
HiPaKu
ZyPaKu
PathoBasic
PathoBasic Cytology
Quizzes
Projektinfos
PathoPic - Projekt- und Copyright-Info
About
Pathopic
HiPaKu
ZyPaKu
PathoBasic
PathoBasic Cytology
Quizzes
PathoPic – image database
/
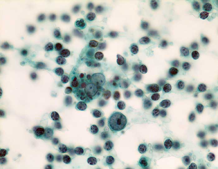
PathoPic ID 5570 - reaktive Lymphadenitis
de
Diagnose
reaktive Lymphadenitis
Diagnose Gruppe
Entzündung infektiös
Topographie
Lymphknoten, Kopf-cervikal
Topographie Gruppe
Lymphatische Gewebe, KM, Milz
Beschreibung
Feinnadelpunktion Lymphknoten submental: buntes Zellbild mit kleinen Lymphozyten, verschiedenen
Keimzentrumszellen,
neutrophiler Granulozyt und
Kerntrümmermakrophage
Klinik
1cm grosses submentales Knötchen
Kommentar
Zytologische Diagnose: reaktive Lymphadenitis
Bilder Typ
Zytologie
Vergrösserung
630
Alter
23
Geschlecht
unbekannt
Datum
Ersteintrag: 23.12.2002
Update: 11.02.2003
CPS
·
©
2024 Institut für Pathologie Basel
/
Dr. med. Katharina Glatz-Krieger
.
·
v2.1