PathoPic – image database / PathoPic ID 555 - Infarktoide areaktive Pneumonie bei Lymphom

de
Diagnose
Infarktoide areaktive Pneumonie bei Lymphom
Diagnose Gruppe
Entzündung infektiös
Topographie
Lunge
Topographie Gruppe
Lunge, Mediastinum mit Thymus
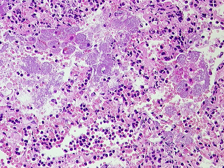
Beschreibung
Intraalveoläre Blutungen und Bakterienrasen sowie zahlreiche Makrophagen gefüllt mit Bakterien. Die zytoplasmaarmen kleinen Zellen entsprechen Lymphominfiltraten. Ein granulozytäres Entzündungsinfiltrat fehlt.
Zusatzbefund
T-Zell Lymphom mit leukämischer Ausschwemmung.
Klinik
Lymphom seit 3 Jahren. Massive Leukozytose.
Bilder Typ
Histologie
Alter
87
Geschlecht
unbekannt
Datum
Ersteintrag: 14.11.2001