PathoPic – image database / PathoPic ID 554 - Infarktoide areaktive Pneumonie bei Lymphom

de
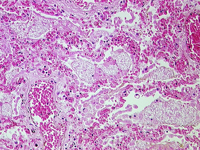
Diagnose
Infarktoide areaktive Pneumonie bei Lymphom
Diagnose Gruppe
Entzündung infektiös
Topographie
Lunge
Topographie Gruppe
Lunge, Mediastinum mit Thymus
Beschreibung
In den Alveolarräumen Fibrinexsudate, Makrophagen und Blutungen. Ein granulozytäres Entzündungsinfiltrat fehlt.
Zusatzbefund
T-Zell Lymphom mit leukämischer Ausschwemmung.
Klinik
Lymphom seit 3 Jahren. Massive Leukozytose.
Bilder Typ
Histologie
Alter
87
Geschlecht
unbekannt
Datum
Ersteintrag: 14.11.2001