PathoPic – image database / PathoPic ID 5517 - Tuberkulose: säurefeste Stäbchen

de
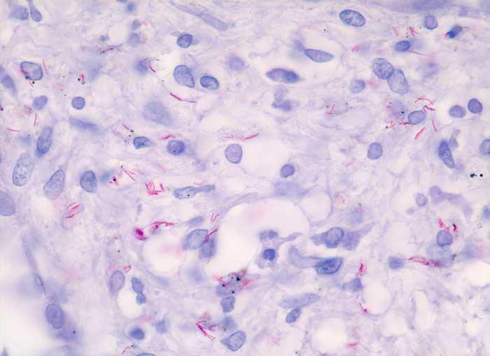
Diagnose
Tuberkulose: säurefeste Stäbchen
Diagnose Gruppe
Entzündung infektiös
Topographie
Lymphknoten, Kopf-cervikal
Topographie Gruppe
Lymphatische Gewebe, KM, Milz
Beschreibung
Epitheloidzelliges Granulom mit sehr zahlreichen säurefesten Stäbchen.
Zusatzbefund
Autopsiebefunde: Miliare Streuherde in Lunge, Milz (Dm bis 4mm), Nieren, Nebennieren, Ileum terminale und Zoekum (Tuberkulosepsis) mit Nachweis säurefester Stäbchen. Lymphknotentuberkulose zervikal beidseits (Dm bis 2x1cm), peribronchial beidseits, paraaortal abdominal (vor allem peripankreatisch), mesenterial und ileozökal (Dm bis 2x2cm). Nachweis von Mycobacterium tuberculosis in Abstrich von Milz und Lunge sowie in der broncho-alveolären Lavage 2 Wochen vor dem Tod. Käsige Pneumonie beider Lungen. Fibrinöse Pleuritis beidseits.
Klinik
Generalisierte Lymphadenopathie, Stomatitis, HIV positiv.
Kommentar
Während bei immunkompetenten Patienten der Halslymphknotenbefall meist auf einen Primärinfekt im Bereich der Mundhöhle (Typ Bovinus) hindeutet, sind bei HIV Patienten die Lymphknoten wahrscheinlich im Rahmen einer generalisierten hämatogenen und lymphogenen Tuberkulose befallen (Miliartuberkulose).
Bilder Typ
Histologie
Vergrösserung
630
Alter
34
Geschlecht
männlich
Datum
Ersteintrag: 23.12.2002
Update: 11.02.2003