PathoPic – image database / PathoPic ID 5516 - Tuberkulose: säurefeste Stäbchen

de
Diagnose
Tuberkulose: säurefeste Stäbchen
Diagnose Gruppe
Entzündung infektiös
Topographie
Lymphknoten, Kopf-cervikal
Topographie Gruppe
Lymphatische Gewebe, KM, Milz
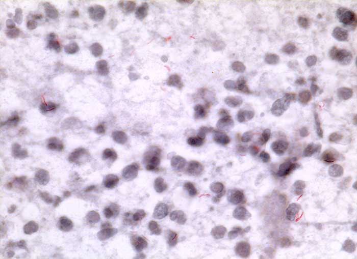
Beschreibung
Feinnadelpunktion Lymphknoten submandibulär: zwischen Detritus vermischt mit Entzündungszellen sind feine säurefeste Stäbchen erkennbar.
Zusatzbefund
Fibrin (+) Blutbeimischung + Granulozyten + Lymphozyten (+) Histiozyten (+) Histiozytäre Riesenzellen (+) Plattenepithelien ++ Parakeratotische Plattenepithelien ++
Klinik
Generalisierte Lymphadenopathie, Stomatitis, HIV positiv.
Kommentar
Zytologische Diagnose: Ausgeprägte granulozytäre Entzündung. Keine Malignitätszeichen.
Die Ziehl Neelsen Färbung wurde über einem vorher mit Papanicolaou gefärbten Präparat hergestellt. Während bei immunkompetenten Patienten der Halslymphknotenbefall meist auf einen Primärinfekt im Bereich der Mundhöhle (Typ Bovinus) hindeutet, sind bei HIV Patienten die Lymphknoten wahrscheinlich im Rahmen einer generalisierten hämatogenen und lymphogenen Tuberkulose befallen (Miliartuberkulose).
Bilder Typ
Zytologie
Vergrösserung
630
Alter
34
Geschlecht
männlich
Datum
Ersteintrag: 23.12.2002
Update: 11.02.2003