PathoPic – image database / PathoPic ID 5514 - Tuberkulose

de
Diagnose
Tuberkulose
Diagnose Gruppe
Entzündung infektiös
Topographie
Lymphknoten, Kopf-cervikal
Topographie Gruppe
Lymphatische Gewebe, KM, Milz
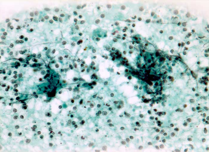
Beschreibung
Feinnadelpunktion Lymphknoten submandibulär: Die nicht sehr zellreichen Ausstriche enthalten Detritus vermischt mit neutrophilen Granulozyten und Kerntrümmern.
Zusatzbefund
Fibrin (+) Blutbeimischung + Granulozyten + Lymphozyten (+) Histiozyten (+) Histiozytäre Riesenzellen (+) Plattenepithelien ++ Parakeratotische Plattenepithelien ++
Klinik
Generalisierte Lymphadenopathie, Stomatitis, HIV positiv.
Kommentar
Zytologische Diagnose: Ausgeprägte granulozytäre Entzündung. Keine Malignitätszeichen.
Bilder Typ
Zytologie
Vergrösserung
320
Alter
34
Geschlecht
männlich
Datum
Ersteintrag: 23.12.2002
Update: 11.02.2003