PathoPic – image database / PathoPic ID 5509 - Plattenepithelkarzinom: Lymphknotenmetastase

de
Diagnose
Plattenepithelkarzinom: Lymphknotenmetastase
Diagnose Gruppe
maligner Tumor
Topographie
Lymphknoten, Kopf-cervikal
Topographie Gruppe
Lymphatische Gewebe, KM, Milz
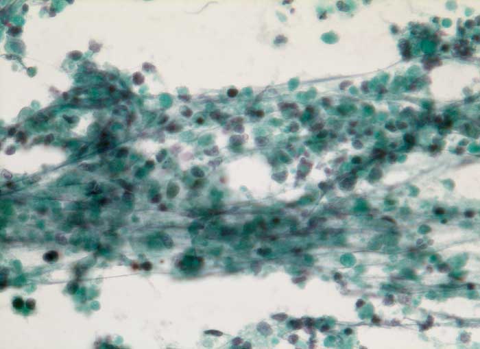
Beschreibung
Feinnadelbiopsie Lymphknoten zervikal: Dichte Aggregate nekrotischer Tumorzellen.
Klinik
Verdacht auf Zungenkarzinom rechts
Kommentar
Zytologische Diagnose: Einige Zellen eines weitgehend entdifferenzierten Karzinoms, vereinbar mit wenig differenziertem Plattenepithelkarzinom.
Bilder Typ
Zytologie
Vergrösserung
320
Alter
60
Geschlecht
männlich
Datum
Ersteintrag: 23.12.2002
Update: 11.02.2003