PathoPic – image database / PathoPic ID 5508 - Plattenepithelkarzinom: Lymphknotenmetastase

de
Diagnose
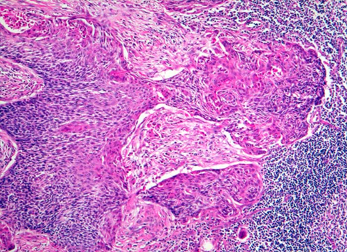
Plattenepithelkarzinom: Lymphknotenmetastase
Diagnose Gruppe
maligner Tumor
Topographie
Lymphknoten, Kopf-cervikal
Topographie Gruppe
Lymphatische Gewebe, KM, Milz
Beschreibung
Solide, auf weiten Strecken basaloide Tumorzellstränge umgeben von desmoplastischem Stroma infiltrieren den Lymphknoten.
Klinik
3cm grosser Tumor Hals rechts
Bilder Typ
Histologie
Vergrösserung
50
Alter
53
Geschlecht
männlich
Datum
Ersteintrag: 23.12.2002
Update: 11.02.2003