PathoPic – image database / PathoPic ID 550 - Pneumocystis jirovecii Pneumonie

de
Diagnose
Pneumocystis jirovecii Pneumonie
Diagnose Gruppe
Entzündung infektiös
Topographie
Lunge
Topographie Gruppe
Lunge, Mediastinum mit Thymus
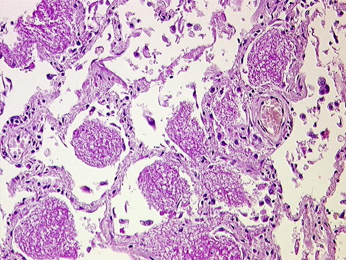
Beschreibung
Wabiges, körnig schaumiges intraalveoläres PAS-positives erregerhaltiges Material. Wegen Immunsupression nur gering ausgeprägtes interstitielles entzündliches Infiltrat. In dieser Färbung sind keine Erreger erkennbar.
Klinik
Immunsupressive Behandlung wegen Systemvaskulitis.
Bilder Typ
Histologie
Alter
69
Geschlecht
unbekannt
Datum
Ersteintrag: 14.11.2001
Update: 30.07.2010