PathoPic – image database / PathoPic ID 5461 - Anaplastisches Schilddrüsenkarzinom

de
Diagnose
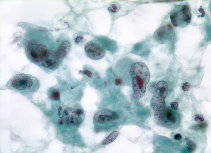
Anaplastisches Schilddrüsenkarzinom
Diagnose Gruppe
maligner Tumor
Topographie
Schilddrüse
Topographie Gruppe
Endokrinium
Beschreibung
Feinnadelpunktion Schilddrüse: Bizarre, grosse Tumorzellen mit polymorphen, grob strukturierten Kernen mit teils mehreren plumpen Nukleolen. Breiter Zytoplasmasaum. Mitose. Daneben deutlich kleinere neutrophile Granulozyten.
Klinik
Strumaknoten links mit Einengung der Trachea
Bilder Typ
Zytologie
Vergrösserung
630
Alter
70
Geschlecht
unbekannt
Datum
Ersteintrag: 24.11.2002
Update: 11.02.2003