PathoPic – image database / PathoPic ID 5460 - Anaplastisches Schilddrüsenkarzinom

de
Diagnose
Anaplastisches Schilddrüsenkarzinom
Diagnose Gruppe
maligner Tumor
Topographie
Schilddrüse
Topographie Gruppe
Endokrinium
Beschreibung
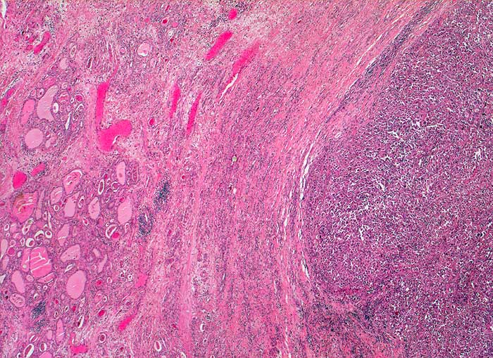
Zwischen Schilddrüsenparenchym und solidem Tumorknoten liegt eine dicke bindegewebige Kapsel. Bereits in dieser Vergrösserung ist erkennbar, dass der Tumor weder follikuläre noch papilläre Strukturen enthält.
Klinik
Strumaknoten links mit Einengung der Trachea
Bilder Typ
Histologie
Vergrösserung
25
Alter
70
Geschlecht
unbekannt
Datum
Ersteintrag: 24.11.2002
Update: 11.02.2003