Diagnose
Anaplastisches Schilddrüsenkarzinom
Diagnose Gruppe
maligner Tumor
Topographie Gruppe
Endokrinium
Beschreibung
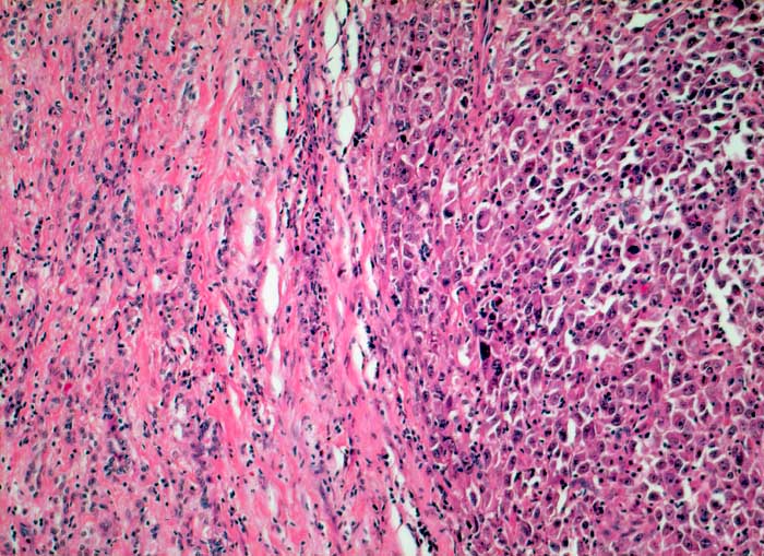
Anaplastischer solider Tumorknoten mit bizarren grossen Tumorzellen.
Klinik
Strumaknoten links mit Einengung der Trachea
Datum
Ersteintrag: 24.11.2002
Update: 11.02.2003