PathoPic – image database / PathoPic ID 5453 - Warthin Tumor

de
Diagnose
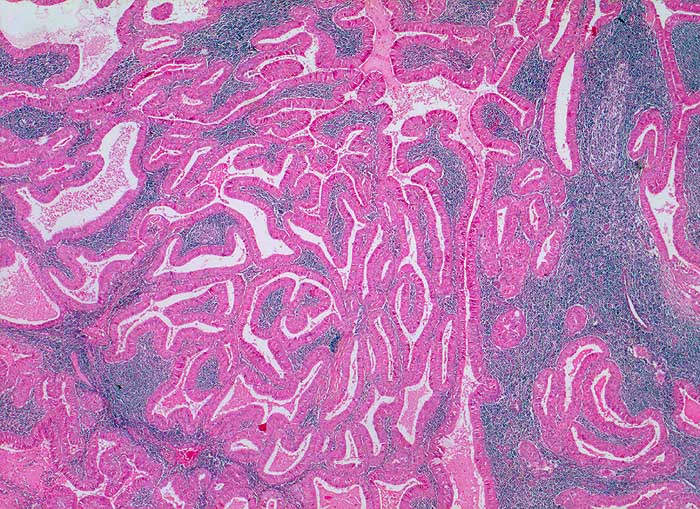
Warthin Tumor
Diagnose Gruppe
benigner Tumor
Topographie
Parotis
Topographie Gruppe
Kopf & Hals, Sinnesorgane
Beschreibung
Ein onkozytäres hochprismatisches Epithel kleidet verzweigte Hohlräume aus, die in ein lymphoides Stroma eingebettet sind. Das Stroma enthält einzelne Keimzentren.
Klinik
Unklare Schwellung Parotisunterpol
Bilder Typ
Histologie
Vergrösserung
25
Alter
57
Geschlecht
männlich
Datum
Ersteintrag: 24.11.2002
Update: 21.12.2007