PathoPic – image database / PathoPic ID 5452 - Warthin Tumor

de
Diagnose
Warthin Tumor
Diagnose Gruppe
benigner Tumor
Topographie
Parotis
Topographie Gruppe
Kopf & Hals, Sinnesorgane
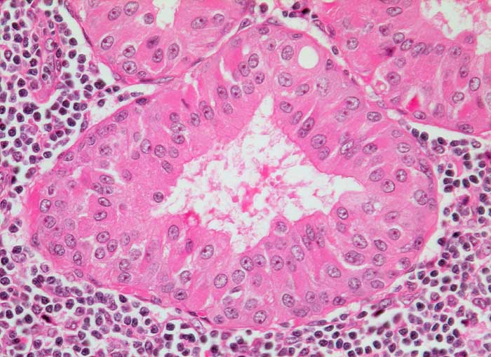
Beschreibung
Onkozytäre Zellen kleiden drüsenartige Hohlräume aus und sind von einem dichten lymphozytären Infiltrat umgeben.
Klinik
Unklare Schwellung Parotisunterpol
Bilder Typ
Histologie
Vergrösserung
320
Alter
57
Geschlecht
männlich
Datum
Ersteintrag: 24.11.2002
Update: 21.12.2007