Diagnose
Lymphknotensarkoidose
Diagnose Gruppe
Entzündung / Reparatur
Topographie
Lymphknoten, Kopf-cervikal
Topographie Gruppe
Lymphatische Gewebe, KM, Milz
Beschreibung
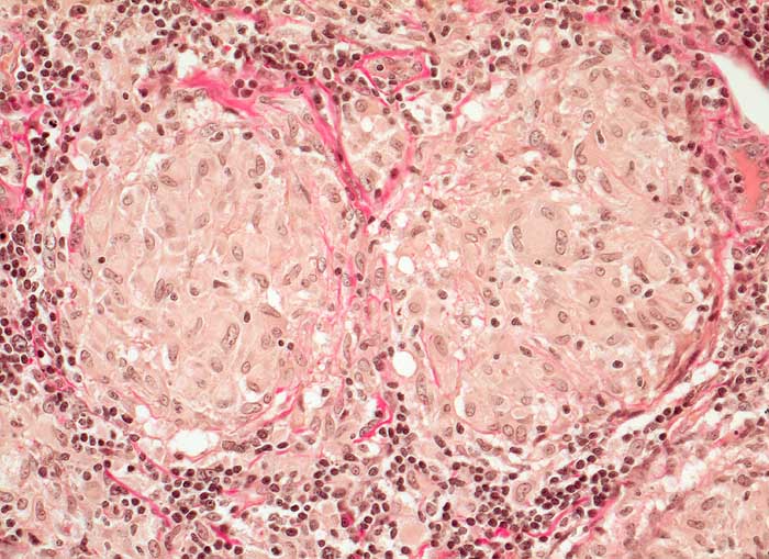
Epitheloidzellen mit reichlich Zytoplasma bilden Granulome mit beginnender Fibrose.
Klinik
Lymphknotenvergrösserung supraklavikulär und submandibulär. Nachtschweiss und Gewichtsverlust.
Datum
Ersteintrag: 14.11.2002
Update: 11.02.2003