Pathopic
HiPaKu
ZyPaKu
PathoBasic
PathoBasic Cytology
Quizzes
Projektinfos
PathoPic - Projekt- und Copyright-Info
About
Pathopic
HiPaKu
ZyPaKu
PathoBasic
PathoBasic Cytology
Quizzes
PathoPic – image database
/
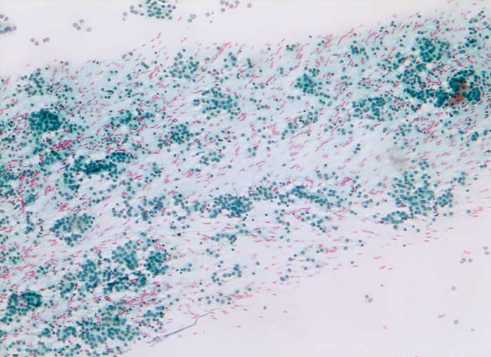
PathoPic ID 5414 - follikuläre Neoplasie: mikrofollikuläres Schilddrüsenadenom
de
Diagnose
follikuläre Neoplasie: mikrofollikuläres Schilddrüsenadenom
Diagnose Gruppe
benigner Tumor
Topographie
Schilddrüse
Topographie Gruppe
Endokrinium
Beschreibung
Tupfpräparat vom Schnellschnittpräparat: Zahlreiche Schilddrüsenepithelien mit runden isomorphen leicht vergrösserten Kernen. Im Hintergrund wenig
Kolloid und Blut
Zusatzbefund
Blut +
Kolloid +
Schaumzellen (+)
Neutrophile Granulozyten (+)
Schilddrüsenepithelien ++
Grössere Verbände von Schilddrüsenepithelien
Klinik
Rezidivstruma. V.a. Schilddrüsenadenom. Dignität ?
Kommentar
Zytologische Diagnose: follikuläre Neoplasie
Bilder Typ
Zytologie
Vergrösserung
50
Alter
25
Geschlecht
unbekannt
Datum
Ersteintrag: 20.11.2002
CPS
·
©
2024 Institut für Pathologie Basel
/
Dr. med. Katharina Glatz-Krieger
.
·
v2.1