PathoPic – image database / PathoPic ID 5412 - follikuläre Neoplasie: mikrofollikuläres Schilddrüsenadenom

de
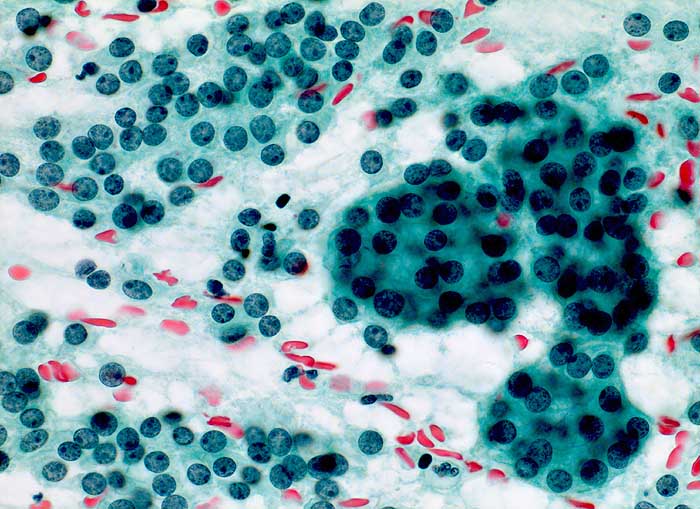
Diagnose
follikuläre Neoplasie: mikrofollikuläres Schilddrüsenadenom
Diagnose Gruppe
benigner Tumor
Topographie
Schilddrüse
Topographie Gruppe
Endokrinium
Beschreibung
Tupfpräparat vom Schnellschnittpräparat: Zahlreiche, sehr schön fixierte Schilddrüsenepithelien. Die Kerne sind rund, weitgehend isomorph, aber vergrössert. Das Chromatin ist mittelgrob gekörnt und nicht ganz regelmässig verteilt. Man erkennt pro Kern je einen meist kleinen Nukleolus. Im Hintergrund Blut.
Zusatzbefund
Blut +
Kolloid +
Schaumzellen (+)
Neutrophile Granulozyten (+)
Schilddrüsenepithelien ++
Grössere Verbände von Schilddrüsenepithelien
Klinik
Rezidivstruma. V.a. Schilddrüsenadenom. Dignität ?
Kommentar
Zytologische Diagnose: follikuläre Neoplasie
Bilder Typ
Zytologie
Vergrösserung
400
Alter
25
Geschlecht
unbekannt
Datum
Ersteintrag: 20.11.2002