PathoPic – image database / PathoPic ID 5408 - follikuläre Neoplasie: mikrofollikuläres Schilddrüsenadenom

de
Diagnose
follikuläre Neoplasie: mikrofollikuläres Schilddrüsenadenom
Diagnose Gruppe
benigner Tumor
Topographie
Schilddrüse
Topographie Gruppe
Endokrinium
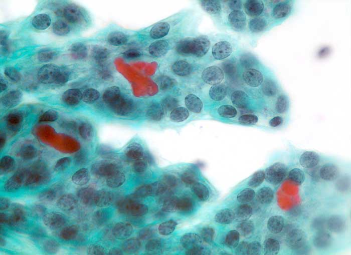
Beschreibung
Feinnadelpunktat Knoten zervikal: Mikrofollikel mit wenig dichtem Kolloid. Die Epithelien sind etwas grösser als normale Follikelzellen und monomorph.
Zusatzbefund
Histologie: mikrofollikuläres Adenom
Kommentar
Zytologische Diagnose: follikuläre Neoplasie
Bilder Typ
Zytologie
Vergrösserung
630
Alter
21
Geschlecht
unbekannt
Datum
Ersteintrag: 20.11.2002