Pathopic
HiPaKu
ZyPaKu
PathoBasic
PathoBasic Cytology
Quizzes
Projektinfos
PathoPic - Projekt- und Copyright-Info
About
Pathopic
HiPaKu
ZyPaKu
PathoBasic
PathoBasic Cytology
Quizzes
PathoPic – image database
/
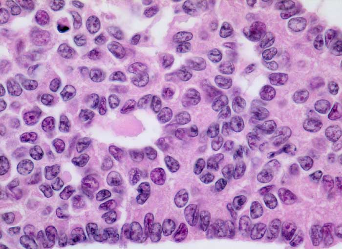
PathoPic ID 5396 - Granulosazelltumor
de
Diagnose
Granulosazelltumor
Diagnose Gruppe
maligner Tumor
Topographie
Ovar
Topographie Gruppe
Genitalorgane, weiblich
Beschreibung
Innerhalb des soliden Tumors finden sich
Hohlräume, die eosinophiles Material enthalten (=Call Exner body). Die Tumorzellen zeigen rundliche bis ovale Kerne mit gelegentlichen
Kernkerben.
Zusatzbefund
Tumorzellen positiv für alpha Inhibin
Klinik
Ovarialtumor von 12cm Durchmesser
Bilder Typ
Histologie
Vergrösserung
630
Alter
85
Geschlecht
unbekannt
Datum
Ersteintrag: 20.11.2002
Update: 10.08.2010
CPS
·
©
2024 Institut für Pathologie Basel
/
Dr. med. Katharina Glatz-Krieger
.
·
v2.1