PathoPic – image database / PathoPic ID 5390 - Muzinöses Zystadenom des Ovars

de
Diagnose
Muzinöses Zystadenom des Ovars
Diagnose Gruppe
benigner Tumor
Topographie
Ovar
Topographie Gruppe
Genitalorgane, weiblich
Beschreibung
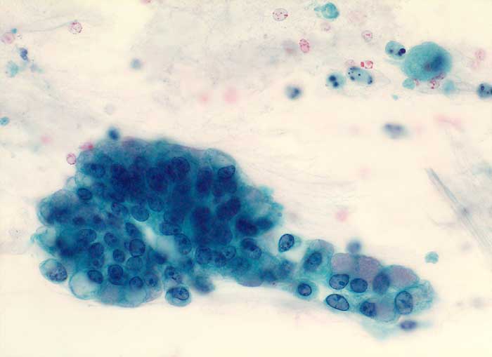
Ovarialzysteninhalt: Blut und Makrophagen Makrophagen. Kleiner Verband von kubischen bis zylindrischen Epithelien, die teilweise eine deutliche apikale rosarote Schleimbildung aufweisen. Die Kerne sind etwas aktiviert, aber nicht eindeutig atypisch.
Zusatzbefund
Schleim++
Altes Blut+
Granulozyten+
Histiozyten(+)
Makrophagen++
Histiozytäre Riesenzellen(+)
Schleimbildende Zylinderzellen(+)
Klinik
"Ovarialzyste" (gross) Dm 20cm.
Kommentar
Da hochdifferenzierte muzinöse Karzinome bisweilen kaum Atypien aufweisen, ist die sorgfältige Untersuchung des Operationspräparates notwendig (mindestens 1 Block pro cm Tumordurchmesser)
Bilder Typ
Zytologie
Vergrösserung
400
Alter
55
Geschlecht
unbekannt
Datum
Ersteintrag: 20.11.2002
Update: 10.08.2010