Pathopic
HiPaKu
ZyPaKu
PathoBasic
PathoBasic Cytology
Quizzes
Projektinfos
PathoPic - Projekt- und Copyright-Info
About
Pathopic
HiPaKu
ZyPaKu
PathoBasic
PathoBasic Cytology
Quizzes
PathoPic – image database
/
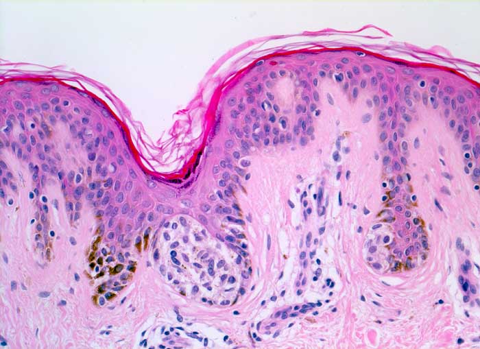
PathoPic ID 5362 - Junktionaler Naevuszellnaevus
de
Diagnose
Junktionaler Naevuszellnaevus
Diagnose Gruppe
benigner Tumor
Topographie
Haut, Rumpf
Topographie Gruppe
Haut
Beschreibung
Die basale Epidermis ist herdförmig vermehrt pigmentiert und enthält
Naevuszellnester. Die Dermis ist frei von Naevuszellen.
Klinik
Flacher, scharf begrenzter, dunkelbrauner Naevus von 3mm Durchmesser am Rücken.
Bilder Typ
Histologie
Vergrösserung
200
Alter
25
Geschlecht
männlich
Datum
Ersteintrag: 20.11.2002
CPS
·
©
2024 Institut für Pathologie Basel
/
Dr. med. Katharina Glatz-Krieger
.
·
v2.1