PathoPic – image database / PathoPic ID 5324 - Samenblasenepithelien

de
Diagnose
Samenblasenepithelien
Diagnose Gruppe
Normalbefund
Topographie
Samenblase
Topographie Gruppe
Genitalorgane, männlich
Beschreibung
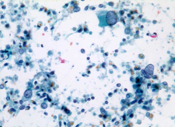
Samenblase, Spülzytologie: Ausgeprägte Pleomorphie. Vergrösserte Kerne mit teils vergröbertem Chromatin. Polygonale und spindelige Zellen. Reichlich goldgelbe Lipofuszinkörner.
Klinik
Prostatakarzinom.
Kommentar
Bei einer Prostatamassage können Samenblasenepithelien in den Urin gelagen, welche wegen ihrer ausgeprägten Pleomorphie zu einer Karzinomfehldiagnose verleiten können. Das Lipofuszinpigment hilft auf die richtige Spur.
Bilder Typ
Zytologie
Vergrösserung
320
Alter
60
Geschlecht
männlich
Datum
Ersteintrag: 19.11.2002
Update: 10.08.2010