PathoPic – image database / PathoPic ID 5322 - Samenblasenepithelien

de
Diagnose
Samenblasenepithelien
Diagnose Gruppe
Normalbefund
Topographie
Samenblase
Topographie Gruppe
Genitalorgane, männlich
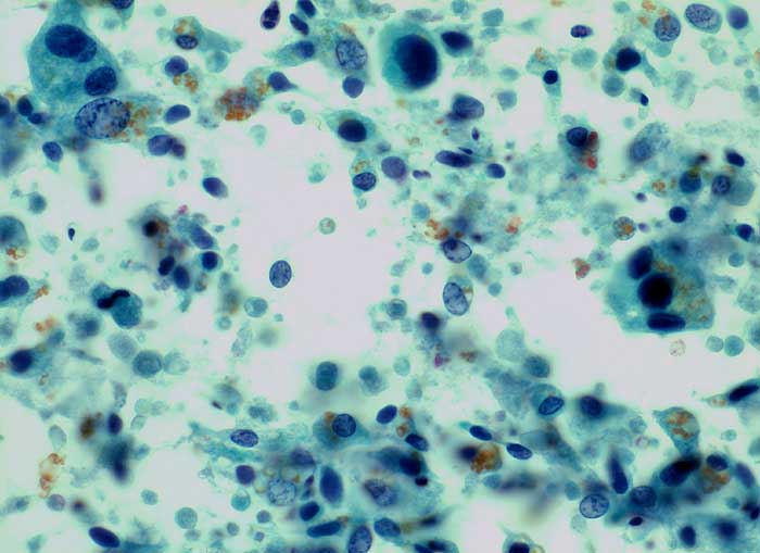
Beschreibung
Samenblase, Spülzytologie: Ausgeprägte Pleomorphie. Vergrösserte Kerne mit vergröbertem Chromatin und intranukleären Vakuolen. Pyknotische Kerne. Polygonale und spindelige Zellen. Reichlich goldgelbe Lipofuszinkörner.
Klinik
Prostatakarzinom.
Kommentar
Bei einer Prostatamassage können Samenblasenepithelien in den Urin gelagen, welche wegen ihrer ausgeprägten Pleomorphie zu einer Karzinomfehldiagnose verleiten können. Das Lipofuszinpigment hilft auf die richtige Spur.
Bilder Typ
Zytologie
Vergrösserung
400
Alter
60
Geschlecht
männlich
Datum
Ersteintrag: 19.11.2002
Update: 10.08.2010