PathoPic – image database / PathoPic ID 5313 - Metastasen eines hepatozellulären Karzinoms

de
Diagnose
Metastasen eines hepatozellulären Karzinoms
Diagnose Gruppe
maligner Tumor
Topographie
Bronchus
Topographie Gruppe
Lunge, Mediastinum mit Thymus
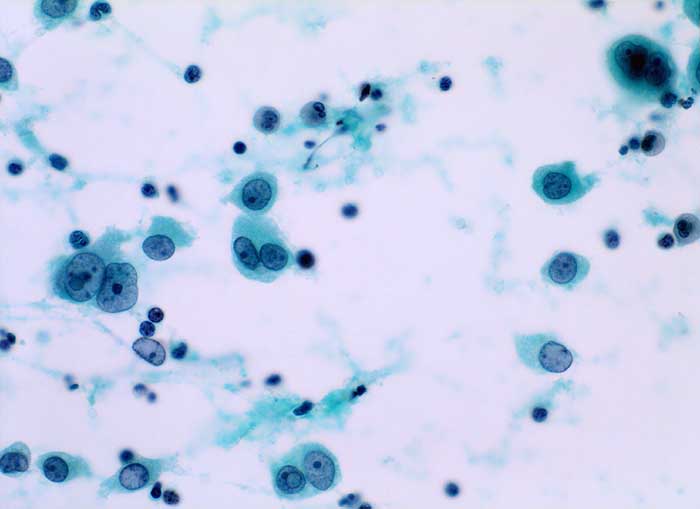
Beschreibung
Transbronchiales Feinnadelpunktat der Lunge, rechts hilär: Grosse, zytoplasmareiche, teils mehrkernige Tumorzellen mit prominenten Nukleolen und intranukleären Vakuolen.
Zusatzbefund
Ein Teil der Karzinomzellen (ca. 30%) sind kräftig positiv für den Leberzell-Marker Hepatocyte. Der Bronchuskarzinom-Marker TTF-1 wird dagegen nicht exprimiert. Diese Markerkonstellation passt zusammen mit dem zytologischen Aspekt gut zu Metastasen eines Leberzellkarzinoms.
Klinik
"Tumor" re. Hilus unkl. Ätiologie. St. n. Lebertransplantation
Kommentar
Zahlreiche Zellen eines wenig differenzierten nicht-kleinzelligen Karzinoms, vereinbar mit Metastasen eines hepatozellulären Karzinoms.
Bilder Typ
Zytologie
Vergrösserung
400
Alter
49
Geschlecht
männlich
Datum
Ersteintrag: 19.11.2002