PathoPic – image database / PathoPic ID 5300 - Granulosazelltumor vom adulten Typ

de
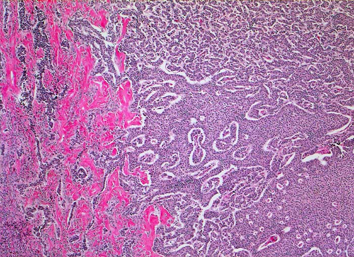
Diagnose
Granulosazelltumor vom adulten Typ
Diagnose Gruppe
maligner Tumor
Topographie
Ovar
Topographie Gruppe
Genitalorgane, weiblich
Beschreibung
Teils trabekuläres, teils solides Wachstum mit zahlreichen Call Exner Körperchen.
Zusatzbefund
Die Tumorzellen zeigen eine Positivität für Inhibin und CD99, sind jedoch negativ für EMA.
Klinik
Ovarial-Tumor links -> Adnexektomie links. Frage: Dignität? CA-125 im Normbereich.
Bilder Typ
Histologie
Vergrösserung
50
Alter
62
Geschlecht
unbekannt
Datum
Ersteintrag: 19.11.2002
Update: 10.08.2010