PathoPic – image database / PathoPic ID 528 - Hepatozelluläres Karzinom: Tumornekrose nach Ethanolinjektion

de
Diagnose
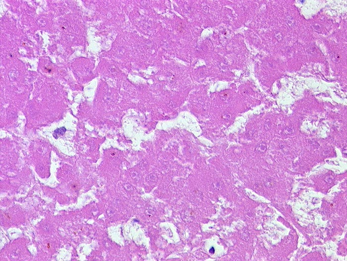
Hepatozelluläres Karzinom: Tumornekrose nach Ethanolinjektion
Diagnose Gruppe
maligner Tumor
Topographie
Leber
Topographie Gruppe
Leber, Gallenwege, Pankreas
Beschreibung
Schattenhaft erkennbare nekrotische Tumorzellen.
Zusatzbefund
Aethylische Leberzirrhose.
Bilder Typ
Histologie
Alter
68
Geschlecht
männlich
Datum
Ersteintrag: 14.11.2001