PathoPic – image database / PathoPic ID 5271 - Multiple Sklerose

de
Diagnose
Multiple Sklerose
Diagnose Gruppe
Entzündung / Reparatur
Topographie
Hirn temporal
Topographie Gruppe
Nervensystem
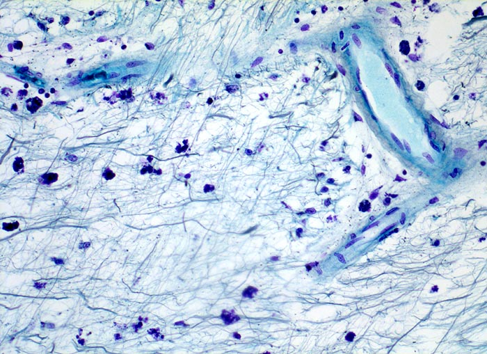
Beschreibung
Ausschnitt aus einem älteren Entmarkungsherd. Zwischen den übgriggebliebenen Axonen lassen sich mit Myelinbruchstücken beladene Makrophagen nachweisen. Vereinzelte mononukleäre Entzündungszellen sind vorwiegend perivaskulär lokalisiert. Oligodendrogliazellen sind nicht sicher erkennbar.
Klinik
Multiple periventrikulär gelagerte Entmarkungsherde im MRI
Bilder Typ
Histologie
Vergrösserung
200
Alter
48
Geschlecht
unbekannt
Datum
Ersteintrag: 03.08.2002