PathoPic – image database / PathoPic ID 5270 - Multiple Sklerose

de
Diagnose
Multiple Sklerose
Diagnose Gruppe
Entzündung / Reparatur
Topographie
Hirn temporal
Topographie Gruppe
Nervensystem
Beschreibung
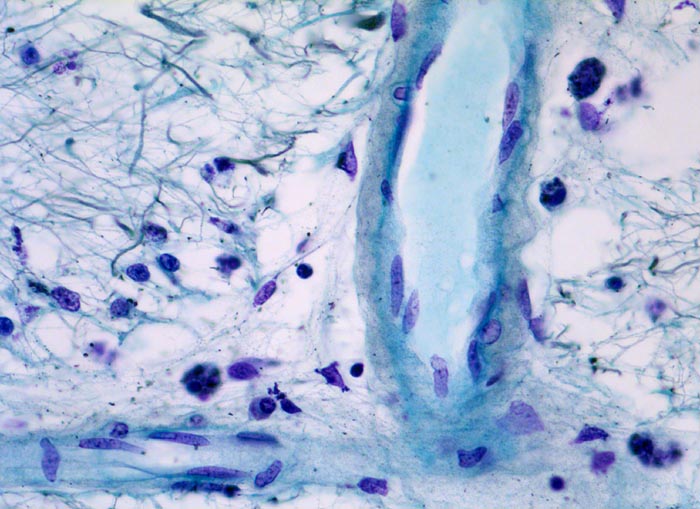
Ausschnitt aus einem älteren Entmarkungsherd. In der Nachbarschaft des Gefässes sind einzelne mit Myelinbruchstücken beladene Makrophagen, Lymphozyten und eine Plasmazelle erkennbar.
Klinik
Multiple periventrikulär gelagerte Entmarkungsherde im MRI
Kommentar
Lymphozyten und Plasmazellen finden sich vor allem perivenös an den Herdrändern. Die Ausprägung des entzündlichen Infiltrates nimmt mit zunehmendem Alter der Herde ab.
Bilder Typ
Histologie
Vergrösserung
400
Alter
48
Geschlecht
unbekannt
Datum
Ersteintrag: 03.08.2002