PathoPic – image database / PathoPic ID 5266 - Senile Demenz vom Alzheimer Typ: neuritischer Plaque

de
Diagnose
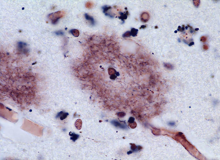
Senile Demenz vom Alzheimer Typ: neuritischer Plaque
Diagnose Gruppe
organspezifische Erkrankung
Topographie
Hirn temporal
Topographie Gruppe
Nervensystem
Beschreibung
Neuritischer seniler Plaque
Klinik
Schwere Demenz mit Beginn der Symptomatik vor 10 Jahren
Kommentar
Immunhistochemisch lassen sich verschiedene Plaquesformen unterscheiden, wobei der Nachweis klassischer neuritischer Plaques entscheidend ist. Neuritische Plaques bestehen aus einem zentralen Amyloidkern, der von zahlreichen neuritischen Fortsätzen umgeben ist.
Bilder Typ
Histologie
Vergrösserung
630
Alter
88
Geschlecht
unbekannt
Datum
Ersteintrag: 23.07.2002