PathoPic – image database / PathoPic ID 5247 - Invasives lobuläres Mammakarzinom

de
Diagnose
Invasives lobuläres Mammakarzinom
Diagnose Gruppe
maligner Tumor
Topographie
Mamma
Topographie Gruppe
Mamma
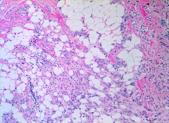
Beschreibung
Die kleinen monomorphen Tumorzellen infiltrieren das Fettgewebe. Die Tumorzellen bilden keine Drüsenschläuche aus.
Klinik
Mammographisch suspekter Herd im äusseren oberen Quadranten. Probeexzision.
Kommentar
Invasiv lobuläre Karzinome bilden per definitionem keine drüsigen Strukturen aus.
Bilder Typ
Histologie
Vergrösserung
100
Alter
42
Geschlecht
unbekannt
Datum
Ersteintrag: 23.07.2002