Pathopic
HiPaKu
ZyPaKu
PathoBasic
PathoBasic Cytology
Quizzes
Projektinfos
PathoPic - Projekt- und Copyright-Info
About
Pathopic
HiPaKu
ZyPaKu
PathoBasic
PathoBasic Cytology
Quizzes
PathoPic – image database
/
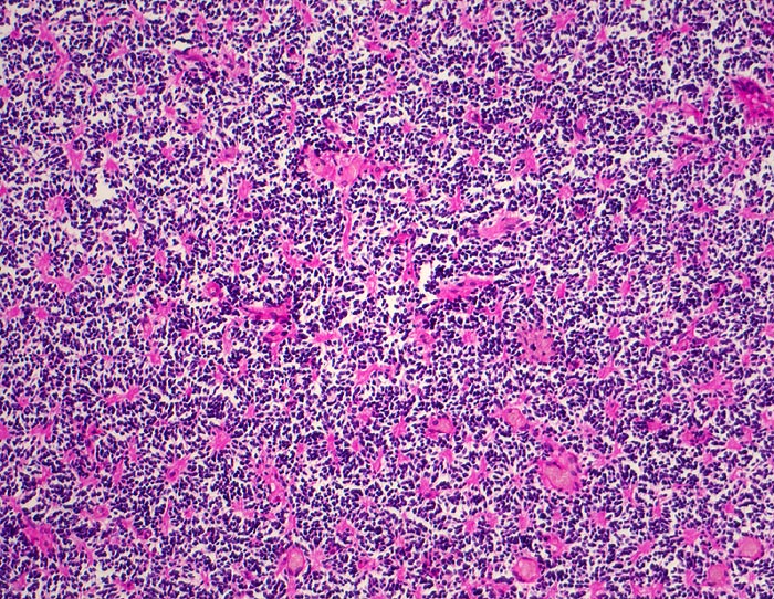
PathoPic ID 5242 - Medulloblastom: Homer Wright Rosetten
de
Diagnose
Medulloblastom: Homer Wright Rosetten
Diagnose Gruppe
maligner Tumor
Topographie
Kleinhirn
Topographie Gruppe
Nervensystem
Beschreibung
Monomorpher Zellrasen mit hyperchromatischen Zellen ohne erkennbares Zytoplasma. Multiple
Homer Wright Rosetten erkennbar am eosinophilen Zentrum aus Zellfortsätzen.
Klinik
Knabe mit Kopfschmerzen und morgendlichem Erbrechen ohne Übelkeit
Bilder Typ
Histologie
Vergrösserung
100
Alter
7
Geschlecht
männlich
Datum
Ersteintrag: 23.07.2002
CPS
·
©
2024 Institut für Pathologie Basel
/
Dr. med. Katharina Glatz-Krieger
.
·
v2.1