PathoPic – image database / PathoPic ID 5239 - Kleinhirn

de
Diagnose
Kleinhirn
Diagnose Gruppe
Normalbefund
Topographie
Kleinhirn
Topographie Gruppe
Nervensystem
Beschreibung
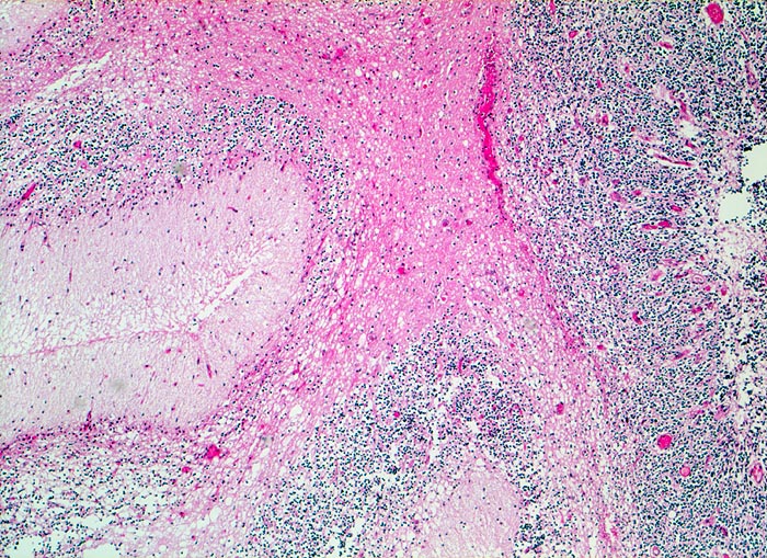
Schlecht erhaltenes Kleinhirn angrenzend an das Medulloblastom (in diesem Bild nicht sichtbar). Kleinhirnmark, Stratum moleculare und Körnerschicht der Kleinhirnrinde.
Zusatzbefund
Medulloblastom angrenzend an das Kleinhirn und die Medulla oblongata
Klinik
Knabe mit Kopfschmerzen und morgendlichem Erbrechen ohne Übelkeit
Bilder Typ
Histologie
Vergrösserung
50
Alter
7
Geschlecht
männlich
Datum
Ersteintrag: 23.07.2002