PathoPic – image database / PathoPic ID 5238 - Medulloblastom: Homer Wright Rosetten

de
Diagnose
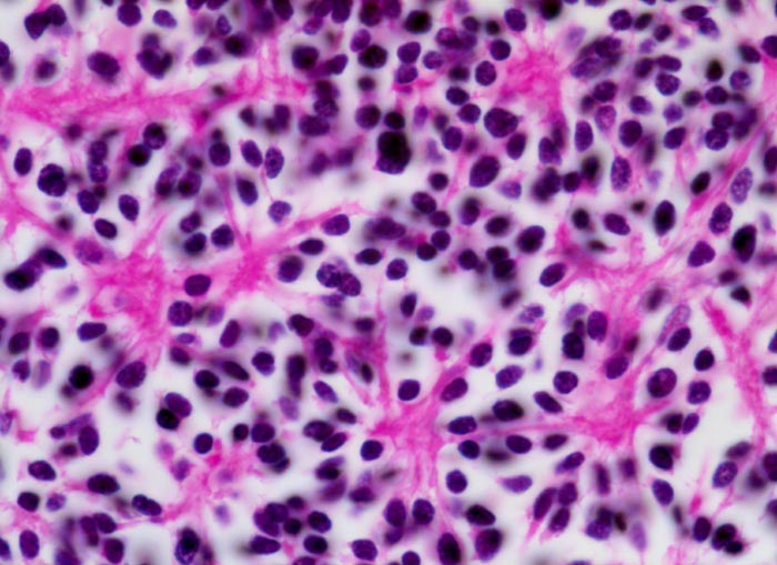
Medulloblastom: Homer Wright Rosetten
Diagnose Gruppe
maligner Tumor
Topographie
Kleinhirn
Topographie Gruppe
Nervensystem
Beschreibung
Dicht gepackte Zellen mit ovalen oder karottenförmigen stark hyperchromatischen Kernen umgeben von wenig Zytoplasma. Typische Homer-Wright Rosetten: Diese bestehen aus ringförmig angeordneten Tumorzellkernen um ein fibrilläres Zentrum aus Zytoplasmafortsätzen.
Klinik
Knabe mit Kopfschmerzen und morgendlichem Erbrechen ohne Übelkeit
Bilder Typ
Histologie
Vergrösserung
400
Alter
7
Geschlecht
männlich
Datum
Ersteintrag: 23.07.2002