Pathopic
HiPaKu
ZyPaKu
PathoBasic
PathoBasic Cytology
Quizzes
Projektinfos
PathoPic - Projekt- und Copyright-Info
About
Pathopic
HiPaKu
ZyPaKu
PathoBasic
PathoBasic Cytology
Quizzes
PathoPic – image database
/
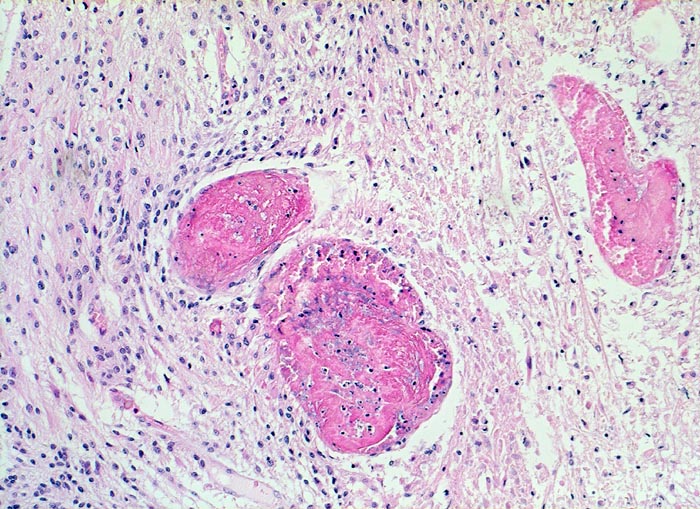
PathoPic ID 5226 - Glioblastoma multiforme (WHO IV)
de
Diagnose
Glioblastoma multiforme (WHO IV)
Diagnose Gruppe
maligner Tumor
Topographie
Hirn temporal
Topographie Gruppe
Nervensystem
Beschreibung
Thrombosierte Gefässe umgeben von teilweise
nekrotischem Tumorgewebe.
Klinik
Seit zwei Monaten zunehmende Persönlichkeitsveränderungen, Kopfschmerzen und progrediente fokal neurologische Zeichen.
Bilder Typ
Histologie
Vergrösserung
100
Alter
52
Geschlecht
unbekannt
Datum
Ersteintrag: 23.07.2002
CPS
·
©
2024 Institut für Pathologie Basel
/
Dr. med. Katharina Glatz-Krieger
.
·
v2.1