Pathopic
HiPaKu
ZyPaKu
PathoBasic
PathoBasic Cytology
Quizzes
Projektinfos
PathoPic - Projekt- und Copyright-Info
About
Pathopic
HiPaKu
ZyPaKu
PathoBasic
PathoBasic Cytology
Quizzes
PathoPic – image database
/
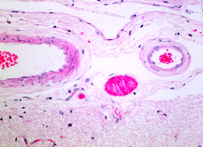
PathoPic ID 5222 - Leptomeningen und Subarachnoidalraum
de
Diagnose
Leptomeningen und Subarachnoidalraum
Diagnose Gruppe
Normalbefund
Topographie
Arachnoidea
Topographie Gruppe
Nervensystem
Beschreibung
Unten im Bild die Hirnrinde. Darüber der Subarachnoidalraum mit den leptomeningealen Gefässen. Der Subarachnoidalraum enthält Liquor.
Bilder Typ
Histologie
Vergrösserung
200
Geschlecht
weiblich
Datum
Ersteintrag: 23.07.2002
CPS
·
©
2024 Institut für Pathologie Basel
/
Dr. med. Katharina Glatz-Krieger
.
·
v2.1