Pathopic
HiPaKu
ZyPaKu
PathoBasic
PathoBasic Cytology
Quizzes
Projektinfos
PathoPic - Projekt- und Copyright-Info
About
Pathopic
HiPaKu
ZyPaKu
PathoBasic
PathoBasic Cytology
Quizzes
PathoPic – image database
/
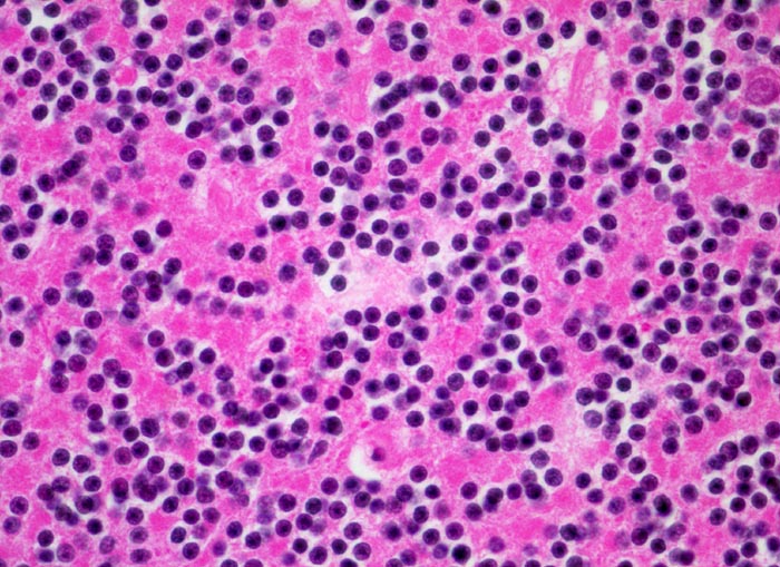
PathoPic ID 5217 - Kleinhirn: Körnerzellschicht
de
Diagnose
Kleinhirn: Körnerzellschicht
Diagnose Gruppe
Normalbefund
Topographie
Kleinhirn
Topographie Gruppe
Nervensystem
Beschreibung
Zellreiche Körnerschicht der Kleinhirnrinde
Bilder Typ
Histologie
Vergrösserung
40
Geschlecht
weiblich
Datum
Ersteintrag: 23.07.2002
CPS
·
©
2024 Institut für Pathologie Basel
/
Dr. med. Katharina Glatz-Krieger
.
·
v2.1