PathoPic – image database / PathoPic ID 5210 - Gravidität

de
Diagnose
Gravidität
Diagnose Gruppe
Normalbefund
Topographie
Plazenta
Topographie Gruppe
Paidopathologie
Beschreibung
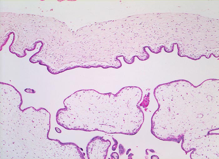
Oben im Bild die Choriondeckplatte (fetale Oberfläche der Plazenta) mit fibrosiertem Stroma.
Klinik
11. Schwangerschaftswoche. Normale Schwangerschaft
Kommentar
Die Plazentarzotten sind in Kotyledone gegliedert. Der Zottenstamm geht aus der Chorionplatte hervor und teilt sich in Zottenstämme niederer Ordnungszahl auf. Das Zottenwerk ist mit der Basalplatte fest verhaftet, indem ein Teil der Stammzotten dritter Ordnung über Zellsäulen mit der Basalplatte verbunden ist (=Haftzotten)
Bilder Typ
Histologie
Vergrösserung
50
Alter
0.212
Geschlecht
unbekannt
Datum
Ersteintrag: 23.07.2002