PathoPic – image database / PathoPic ID 5205 - Gravidität

de
Diagnose
Gravidität
Diagnose Gruppe
Normalbefund
Topographie
Plazenta
Topographie Gruppe
Paidopathologie
Beschreibung
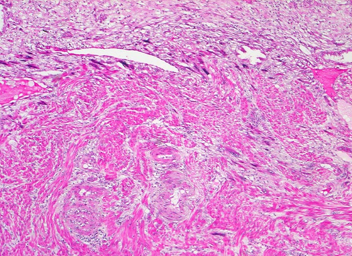
Extravillöser Trophoblast invadiert das Myometrium. Die Trophoblastzellen sind grösser als die glatten Muskelzellen des Myometriums und haben grosse hyperchromatische Kerne. Oben im Bild Anschnitt der Dezidua.
Klinik
11. Schwangerschaftswoche. Normale Schwangerschaft
Kommentar
Als extravillöser Trophoblast werden die Trophoblastzellen der Haftzotten, der Trophoblastinseln zwischen den Zotten, des Chorion laeve und der Spiralarterien bezeichnet. Der villöse Zytotrophoblast findet sich ausschliesslich in Verbindung mit einer Basalmembran. Je weiter die Zellen des extravillösen Trophoblasten (=Intermediärtrophoblast) von der Basalmembran entfernt sind, um so mehr verlieren sie ihr Wachstumspotential und differenzieren zu Zellen mit invasiven Eigenschaften.
Bilder Typ
Histologie
Vergrösserung
50
Alter
0.212
Geschlecht
unbekannt
Datum
Ersteintrag: 23.07.2002